Mieux répartir l’usage de l’eau dans le système alimentaire mondial pourrait devenir l’un des grands leviers de la ...
L’épidémie mondiale de choléra a explosé depuis le début de l’année. Avec 31 pays concernés dans ...
La situation des droits humains en Haïti reste « extrêmement préoccupante », a alerté vendredi ...
En visite d’État à Istanbul, le président de la République, Brice Clotaire Oligui Nguema, a pris ...
Dans le cadre de sa première visite d’État en République de Turquie, le président gabonais Brice ...
Alors que les nations poursuivent l’exploration sous-marine à la recherche de minéraux rares ...
Les Nations Unies ont salué dimanche l’annonce par Israël de « pauses humanitaires » pour ...
À l’occasion de la Semaine du Gabon à l’Exposition universelle Osaka 2025, une conférence de ...
Sur fond de guerres à Gaza, en Ukraine et ailleurs, le Secrétaire général de l’ONU, António ...
La Cour internationale de Justice (CIJ) a clos, mardi, les audiences publiques relatives à une ...
Ils sont plus de 68.000 à servir, loin de chez eux, sur des terrains minés par la guerre, la ...
En marge des Réunions de Printemps du Fonds monétaire international (FMI) et de la Banque ...
L’actuel ministre des Transports abat un travail que l’on qualifierait de titanesque. Le ...
Le Gabon a été célébré sur la scène maritime internationale lors de la cérémonie annuelle de ...
Les pays qui négocient un instrument international juridiquement contraignant sur la pollution ...
L’agence sanitaire mondiale de l’ONU (OMS) a approuvé le vaccin Mpox de la société ...
L’Organisation mondiale de la santé (OMS) a inscrit le premier test de diagnostic in vitro du ...
Oligui Nguema prend part à la 8e conférence des entrepreneurs africains et chinois en marge du FOCAC
Le Président de la Transition, le général Brice Clotaire Oligui Nguema a pris part ce 6 ...
Ne laisser aucun enfant de côté dans la lutte contre la traite des personnes, c’est l’appel ...
Après avoir pris part à la cérémonie d’ouverture des Jeux olympiques de Paris le 26 juillet ...
Le Comité de l’ONU contre la torture s’est dit préoccupé, vendredi, par les informations faisant ...
Après avoir pris part au Sommet sur le Sport pour le développement durable, le Président de la ...
Les espèces migratrices sont confrontées à des défis majeurs, près de la moitié d’entre elles ...
Le Conseil de sécurité de l’ONU a adopté mercredi une résolution dans laquelle il exige que les ...
La 28ème Conférence des Parties à la Convention-cadre des Nations Unies sur les Changements ...
Les droits de l’homme doivent être au centre de la gouvernance et pas seulement au premier plan ...
Les signes avant-coureurs d’un génocide, tels que les discours de haine des dirigeants ...
A l’occasion de la Journée mondiale des toilettes, célébrée chaque année le 19 novembre, le ...
Après avoir pris part au sommet Arabie saoudite-Afrique qui s’est tenu vendredi 10 novembre à ...
A l’invitation de Salmane Ben Abdelaziz Al Saoud, roi du Royaume d’Arabie Saoudite, le président ...
Alors que les travailleurs humanitaires au service des populations civiles touchées par les ...
13,4 millions de bébés sont nés avant terme au début de 2020, dont près d’un million sont morts ...
L’Organisation mondiale de la Santé (OMS) a publié, mardi, deux nouvelles directives pour ...
Quelque 4,5 milliards de personnes, soit plus de la moitié de la population mondiale, n’ont pas ...
Les discussions sur l’avenir des soins au 21e siècle doivent donner la priorité aux conditions ...
Le conseil militaire formé par les rebelles a l’intention de porter des accusations de haute ...
La réussite de la transition vers un monde plus vert dépendra du développement des compétences ...
Avec 16,95°C, la température moyenne relevée à travers le globe en juillet a été la plus élevée ...
Les prix alimentaires mondiaux ont augmenté pour la première fois depuis des mois à la suite de ...
Le nombre total d’affaires judiciaires liées au changement climatique a plus que doublé depuis ...
Aucun pays n’a atteint la parité totale entre les sexes et moins de 1% des femmes et des filles ...
Liverpool est un nom qui résonne avec fierté et succès dans le monde du football. Le club, basé ...
Habitants de Metz (France) ne manquez sur aucun prétexte la « Grande soirée de gala » organisée ...
A l’issue d’une visite de dix jours en Haïti, un expert de l’ONU a déclaré avoir vu un « pays ...
Ali Bongo a pris part ce vendredi à la clôture du Sommet pour un Nouveau Pacte Financier Mondial ...
Après le naufrage survenu au large de la Grèce mercredi 14 juin 2023 et ayant fait au moins 78 ...
Le monde doit lutter contre le « raz-de-marée toxique » de la pollution plastique qui menace les ...
Le Gabon, engagé depuis plusieurs décennies dans la protection de l’environnement et des ...
L’insécurité alimentaire aiguë risque d’augmenter en ampleur et en gravité dans 18 « points ...
Dans le monde entier, 67 pays criminalisent encore les rapports entre personnes du même sexe et ...
Les opportunités économiques et les moyens de subsistance offerts par les océans aux pays en ...
Les Administrateurs de la Banque mondiale ont décidé aujourd’hui de nommer Ajay Banga à la tête ...
Sous l’effet des conflits, des chocs économiques et des catastrophes climatiques, l’insécurité ...
Les Nations Unies organisent depuis ce lundi à Genève une série de réunions ayant pour objectif ...
À l’occasion de la Journée internationale de la Terre nourricière, célébrée le 22 avril, le ...
Quelque 67 millions d’enfants dans le monde n’ont pas reçu une ou plusieurs vaccins entre 2019 ...
Le corps des femmes ne doit pas être tenu captif des politiques gouvernementales ou des récits ...
Alors que l’économie mondiale continue de souffrir d’une série de crises, des hauts responsables ...
La lutte contre les inégalités liées au genre dans les systèmes agroalimentaires et ...
« Aucun pays au monde n’est à l’abri de la discrimination raciale et du racisme », a déploré ...
La Journée internationale du sport au service du développement et de la paix, célébrée chaque ...
Un grand nombre de personnes sont touchées par l’infertilité au cours de leur vie, selon un ...
Le Secrétaire général de l’ONU, António Guterres, appelle les gens dans le monde entier à ...
Avec la montée de la xénophobie, des préjugés et des discours de haine, la communauté des ...
En marge de la 55ème session de la Commission économique pour l’Afrique à Addis-Abeba, en ...
La Journée internationale de la Francophonie célèbre cette année l’abondance et la diversité de ...
La Conférence des Nations Unies sur l’eau, qui doit se tenir au siège de l’ONU à New York du 22 ...
L’Assemblée générale des Nations Unies a été inondée d’une mer de bleu mercredi alors que ...
Un grain de riz, un collier en or et un tronc de bois lourd de trois mètres de long pour ...
Alors que le système financier mondial est incapable d’amortir efficacement les impacts des ...
Le Secrétaire général de l’ONU, António Guterres, a présenté lundi les grandes lignes de « Notre ...
L’Organisation des Nations Unies pour l’alimentation et l’agriculture (FAO) a annoncé vendredi ...
Les discours de haine n’ont rien de nouveau, mais ils ont été exacerbés par l’Internet, qui ...
Au troisième et dernier jour de sa visite au Cabo Verde, le Secrétaire général de l’ONU, António ...
« Les acides gras trans tuent des gens et ça devrait être interdit », a alerté lundi l’Agence ...
Deux millions de personnes ont besoin d’aide humanitaire au Liban en raison de la crise ...
À l’invitation du président de Guinée équatoriale, le président de la République gabonaise ...
« Le respect des droits de l’enfant est en net recul dans le monde », c’est l’amer constat ...
Les prix mondiaux des produits alimentaires ont encore baissé en décembre et sont même retombés ...
L’invasion de l’Ukraine par la Russie a créé un bouleversement mondial, et toutes les régions du ...
Pelé, la légende du football brésilien, que beaucoup considèrent comme le plus grand joueur de ...
Cent millions de personnes ont été forcées de quitter leur foyer en 2022. L’ONU a continué ...
Selon le nouveau rapport de l’Organisation Météorologique Mondiale (OMM), les catastrophes liées ...
La diabolisation des victimes de la traite et des formes contemporaines d’esclavage érode la ...
Prenant la parole sur la thématique de la conservation en tant qu’invité au cours de la ...
Alors que la population mondiale augmente et que les ressources se font de plus en plus rares ...
Pour marquer la Journée de la couverture maladie universelle, l’ONU a partagé lundi la vedette ...
A l’ouverture de la 15e Conférence des Parties (COP15) à la Convention sur la diversité ...
Plus d’une personne sur cinq (soit près de 23%) des personnes ayant un emploi ont subi de la ...
La majeure partie du globe était plus sèche que la normale en 2021, avec « des effets en cascade ...
À l’approche de la Journée mondiale de lutte contre le sida, l’UNICEF a averti que les progrès ...
Environ la moitié des cas de choléra détectés à Haïti concernent des enfants, dont beaucoup sont ...
Ali Bongo a pris part ce samedi à Djerba en Tunisie, au 18ème Sommet de l’Organisation ...
Le racisme et la discrimination à l’égard des enfants du fait de leur origine ethnique, de leur ...
Armés de t-shirts, de banderoles, de pancartes, de mégaphones, et surtout de témoignages ...
Alors qu’un nombre croissant de gouvernements et d’acteurs non étatiques s’engagent à être sans ...
Gabon Matin vous livre l’intégralité du discours d’Ali Bongo du 7 novembre, prononcé à ...
La Conférence des Nations Unies sur les changements climatiques, la COP27, a officiellement ...
En l’absence d’une action concertée et urgente, le changement climatique exacerbera les ...
Ali Bongo se rendra du 5 au 7 novembre 2022 à Sharm El-Sheikh en République arabe d’Egypte, afin ...
Au moment où les effets néfastes du changement climatique s’intensifient dans le monde entier, ...
Une réunion de deux jours du Comité contre le terrorisme du Conseil de sécurité des Nations ...
Les derniers engagements climatiques internationaux en date sont « très loin » de répondre à ...
Des inondations dévastatrices au Pakistan aux incendies de forêt en Sibérie, les effets de ...
La crise de la dette pèse sur les systèmes de santé dans les pays en développement, prévient ONUSIDA
Les investissements dans la lutte contre le sida et la Covid-19 sont en danger avec la crise de ...
Des chefs d’entreprise proposent des solutions pour atteindre les objectifs de développement durable
De hauts dirigeants d’entreprise ont rencontré le Secrétaire général des Nations Unies, António ...
L’Assemblée générale de l’ONU qualifie d’illégale l’annexion par la Russie de 4 régions ukrainiennes
L’Assemblée générale des Nations Unies a adopté mercredi une résolution dans laquelle elle ...
Marquant le 10e anniversaire de la Journée internationale de la fille, le chef de l’ONU a ...
La restructuration de la dette ne peut pas attendre que les taux d’intérêt baissent ou qu’une ...
Les enseignants sont au cœur de l’éducation, et leur travail précieux doit également ...
Une demande sera faite pour fournir à Haïti des vaccins oraux contre le choléra après le retour ...
Alors que se tient, lundi et mardi, à Kinshasa, en République démocratique du Congo (RDC), une ...
Le nombre d’emplois dans le secteur mondial des énergies renouvelables a atteint 12,7 millions ...
C’est un montant record de promesses de 14,2 milliards de dollars en faveur du Fonds mondial ...
A l’ouverture du débat général de la 77e session de l’Assemblée générale des Nations Unies mardi ...
Le secrétaire général de l’ONU, António Guterres, a exprimé ce jeudi sa profonde tristesse à ...
Le monde vacille de crise en crise, piégé dans un cycle de lutte contre les incendies et ...
Au rythme où évolue la situation actuellement, il faudra probablement près de 300 ans pour ...
Le Secrétaire général de l’ONU, António Guterres, a appelé lundi à lutter contre la haine et la ...
Les Nations Unies viennent d’allouer 5 millions de dollars de son Fonds central d’intervention ...
Les prix des denrées alimentaires dans le monde ont nettement reculé en juillet, a indiqué ...
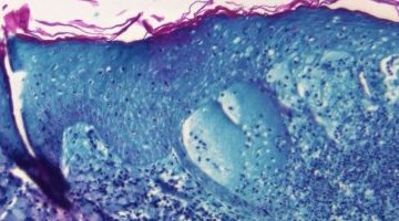
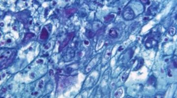
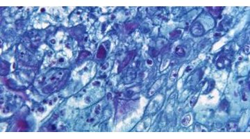
La variole du singe a été classée en urgence de santé publique de portée internationale par le ...
Face à l’augmentation des cas de variole du singe, l’Agence sanitaire mondiale réunit ce jeudi ...
Quelque 25 millions d’enfants ont raté une ou plusieurs doses du vaccin contre la diphtérie, le ...
L’Organisation mondiale de la Santé (OMS) a publié mardi son tout premier rapport sur la mise au ...
Steve (nom d’emprunt) rêvait de devenir professeur d’école quand sa vie a basculé l’an dernier ...